10 Haftalık Gebelikte Bebek Ne Kadar Büyüktür?
- hafta, hamileliğin 3. ayına giriş yapılan ve fetüsün hızlı bir gelişim sürecine girdiği bir dönemdir. Bu hafta itibariyle embriyo artık “fetüs” olarak adlandırılır. Çünkü gelişimi artık organ oluşumundan fonksiyon kazanmaya doğru evrilmiştir.
Bebeğin Boyu ve Ağırlığı
- haftada bebek yaklaşık 3–4 cm uzunluğunda ve ortalama 4–5 gram ağırlığındadır. Bu boyutlar kişiden kişiye değişebilse de genel aralıklar aşağıdaki tabloda verilmiştir:
| Gelişim Özelliği | Ortalama Değer |
|---|---|
| Uzunluk (CRL)* | 3 – 4.2 cm |
| Ağırlık | 4 – 5 gram |
| Boyut karşılaştırması | Çilek veya erik büyüklüğünde |
*CRL: Crown-Rump Length (baştan kalçaya kadar ölçülen uzunluk)
Bu Hafta İçinde Gerçekleşen Önemli Gelişmeler
- Tüm organ sistemleri artık temel olarak oluşmuştur. Bundan sonraki haftalarda bu sistemler gelişip olgunlaşacaktır.
- Beyin gelişimi hızla devam eder. Beyin, vücut oranlarına göre büyük görünebilir.
- Yüz hatları belirginleşmeye başlar: Gözler birbirine yaklaşır, kulaklar yerini bulur.
- Parmaklar artık ayrı ayrı seçilebilir; parmak arası perdeler kaybolmuştur.
- Tırnak yatakları oluşmaya başlar.
- Kollar ve bacaklar uzar, dirsekler ve dizler netleşir.
- İç organlar (karaciğer, bağırsaklar, böbrekler) işlevsel duruma geçmeye başlar.
- İlkel diş tomurcukları oluşmuştur.
- Omurga daha belirgin hale gelir.
Ultrasonla Görülebilir Mi?
Evet, 10. haftada ultrasonla bebeğin genel hatları, baş, gövde ve uzuvları görülebilir. Kalp atışları da net biçimde izlenebilir. Ancak detaylı organ gelişimi için 11–14. hafta arasındaki taramalar daha çok bilgi verir.
Annenin Hissettiği Hareketler
Bu haftada bebek hareket etmeye başlasa da, bu hareketler henüz anne tarafından hissedilmez. Ancak ultrason sırasında bu küçük kıpırtılar gözlemlenebilir.
Neden Bu Hafta Kritik?
- Organogenez tamamlandığı için, bu haftadan sonra bebek dış faktörlere (ilaçlar, enfeksiyonlar, toksinler) karşı biraz daha dayanıklı hale gelir.
- Gebeliğin düşük riski, bu haftalardan sonra azalmaya başlar.
- Bebeğin tüm sistemleri temellendiği için gebelik takibinde önemli bir geçiş aşamasıdır.
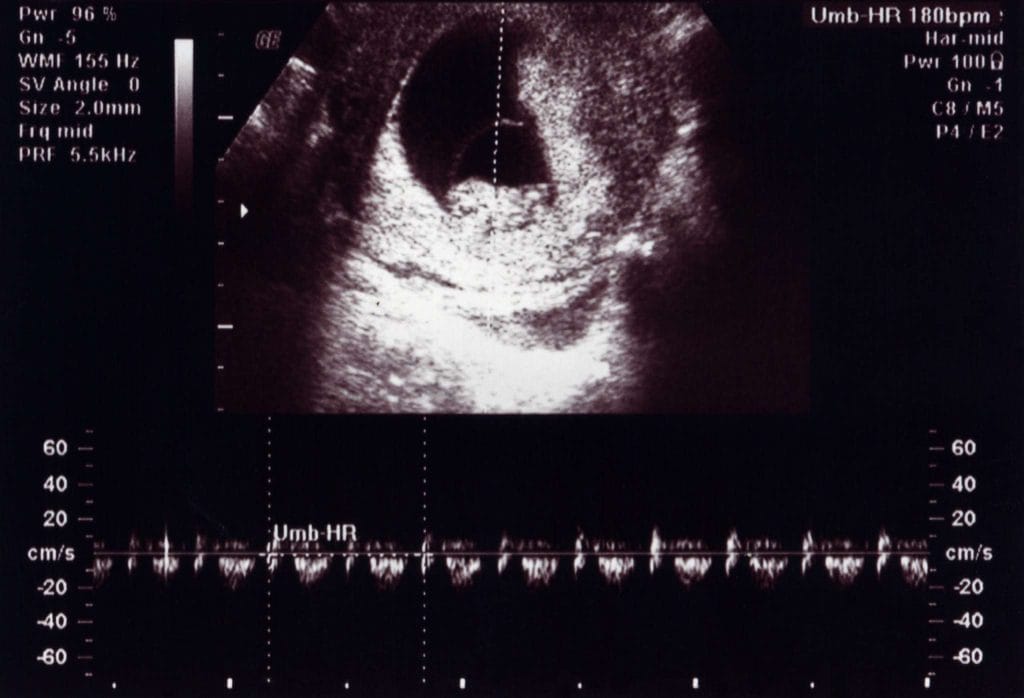
10 Haftalık Bebek Ultrason Görüntüsü Nasıldır?

- haftada ultrason, gebeliğin sağlıklı ilerleyip ilerlemediğinin değerlendirilmesi açısından çok kıymetlidir. Bu dönemde yapılan ultrasonografi genellikle vajinal yolla (transvajinal) ya da karından (abdominal) yapılabilir. Özellikle anne adayı zayıfsa ve rahim önde yer alıyorsa karından ultrasonla da net görüntüler elde edilebilir.
Ultrasonda Neler Görülür?
- haftada ultrason sırasında bebeğin artık bir embriyodan çok, minyatür bir insan formuna benzemeye başladığı görülür. Görülebilen yapılar şunlardır:
| Görülebilen Yapı | Açıklama |
|---|---|
| Baş ve vücut ayrımı | Baş oldukça büyüktür ve gövdeden kolayca ayırt edilir. |
| Kollar ve bacaklar | İnce ama net bir şekilde görünür. Kollar dirsekten, bacaklar dizden kıvrılmış olabilir. |
| Parmaklar | Perdesiz olarak seçilebilir, ayrışma tamamlanmak üzeredir. |
| Yüz hatları | Göz boşlukları, burun çıkıntısı ve kulak kepçeleri şekillenmeye başlamıştır. |
| Kalp atımı | Dakikada 160-180 arası atım hızıyla görülür ve duyulur. |
| Göbek kordonu | Plasentaya uzanan kordon hareketlidir ve net biçimde izlenebilir. |
| İç organ hareketleri | Özellikle mide, bağırsak gibi organlar dolgunlukla izlenebilir. |
Ultrason Görüntüsünde Neler Seçilemez?
- hafta henüz detaylı fetal anatominin görülebildiği bir dönem değildir. Bu nedenle:
- Beyin içi yapıların detaylı değerlendirmesi yapılamaz.
- Kalp odacıkları net şekilde seçilemez.
- Cinsiyet tayini kesin olarak yapılamaz.
Bu değerlendirmeler için genellikle 11–14. hafta arası yapılan ilk trimester tarama ultrasonu beklenir.
Ultrason Tipi ve Süresi
| Ultrason Türü | Kullanım Durumu |
|---|---|
| Transvajinal | Daha net görüntü sağlar; genellikle ilk trimesterde tercih edilir. |
| Abdominal | Anne adayının rahmi önde ve karın yapısı uygunsa kullanılabilir. |
Ultrason süresi genellikle 5–10 dakika arasıdır. İşlem sırasında kalp atışları genellikle sesli olarak da dinletilir, bu an birçok anne-baba için duygusal bir dönüm noktasıdır.
10. Haftada Annenin Vücudunda Neler Olur?
Gebeliğin 10. haftası, annenin vücudunda hem hormonal hem de fiziksel değişimlerin belirginleşmeye başladığı bir dönemdir. Bu değişimler her kadında farklı düzeylerde hissedilse de, çoğu hamilelikte benzer seyir izler. 10. haftaya gelindiğinde artık bebek gelişmeye başlamış, plasenta büyük oranda oluşmuş ve hormon düzeyleri yüksek seyretmektedir.
Yaygın Fiziksel Değişiklikler
| Değişiklik | Açıklama |
|---|---|
| Göğüslerde dolgunluk | Meme dokusu büyür, hassasiyet artar. Bu, süt bezlerinin gelişmeye başladığını gösterir. |
| Karında şişkinlik hissi | Rahim büyümeye başladığı için karın alt kısmında hafif bir çıkıntı hissedilebilir. |
| Sık idrara çıkma | Rahmin mesaneye baskısı ve artan kan akımı nedeniyle idrara çıkma sıklığı artar. |
| Ciltte değişiklikler | Artan östrojen etkisiyle bazı kadınlarda akne, cilt parlaklığı veya koyu lekelenmeler görülebilir. |
| Kabızlık | Artan progesteron düzeyi bağırsak hareketlerini yavaşlatır. |
| Baş dönmesi | Dolaşım sistemindeki genişlemeyle kan basıncı düşebilir, bu da baş dönmesine neden olabilir. |
| Yorgunluk ve halsizlik | Vücut bebeğe odaklandığı için enerji azalabilir; bu oldukça yaygındır. |
Duygusal Değişiklikler
- Ruh hali dalgalanmaları sık görülür. Hem hormonlardaki hızlı değişim hem de anne olma fikrinin zihinde yarattığı etkiler duygusal gelgitlere yol açabilir.
- Endişe ve heyecan bir arada yaşanabilir. Özellikle ilk gebeliklerde bu dönemde düşük riskiyle ilgili kaygılar artabilir.
- Bazı kadınlar bu dönemde ilk defa “gerçekten hamile olduğunu” hissetmeye başlar.
Rahimdeki Değişimler
- haftada rahim artık pelvik kemiğin içinde kalamayacak kadar büyür. Bu durum:
- Alt karın bölgesinde gerginlik hissi yaratabilir.
- Bazı kadınlarda hafif, batma tarzında ağrılar olabilir (rahim genişlemesine bağlı).
- Bu ağrılar şiddetli değilse genellikle normaldir, ancak şiddetli ya da kanamayla birlikteyse mutlaka doktora başvurulmalıdır.
Hormon Seviyeleri Zirvede
- haftada insan koryonik gonadotropin (hCG) seviyesi en yüksek düzeyine ulaşır. Bu durum, bulantı ve kusmanın en yoğun hissedildiği dönemlerden biridir. Ancak bu haftadan sonra hCG seviyesi yavaş yavaş düşer ve belirtiler hafiflemeye başlar.
Günlük Hayatta Nelere Dikkat Edilmeli?
- Bol su içilmeli
- Hafif egzersizlerle dolaşım desteklenmeli
- Demir ve folik asit takviyeleri düzenli alınmalı
- Dinlenmeye özen gösterilmeli
- Bulantılar için küçük ve sık öğünler tercih edilmeli
10 Haftalık Gebelikte Karın Belli Olur mu?

Hamileliğin 10. haftasında karındaki büyüme, her anne adayında farklı şekilde gözlemlenebilir. Bazı kadınlarda bu haftada hafif bir çıkıntı oluşurken, bazı kadınlarda hala hiçbir değişiklik fark edilmez. Bu durum, annenin vücut yapısına, önceki gebelik sayısına ve rahmin yerleşimine göre değişkenlik gösterir.
İlk Gebelikte ve İkinci Gebelikte Farklar
| Özellik | İlk Gebelik | İkinci ve Sonraki Gebelikler |
|---|---|---|
| Karın Büyümesi | Genellikle 12. haftadan sonra başlar | 10. haftada bile belirgin olabilir |
| Rahim Kasları | Daha sıkı | Önceden esnediği için daha gevşektir |
| Kişinin Gözlemlediği Değişim | Daha geç fark edilir | Daha erken fark edilir |
Karın Neden Şiş Görünebilir?
- haftada gerçek karın büyümesinden çok, şişkinlik ve gaz birikimi gibi sindirim sistemine bağlı değişiklikler karını daha belirgin gösterebilir. Bunun başlıca nedenleri:
- Hormonal etkilerle yavaşlayan bağırsak hareketleri
- Artan progesteron hormonunun sindirim sistemi üzerindeki etkisi
- Yavaş sindirim nedeniyle oluşan gaz birikimi
Bu durumda karın sertlikten çok yumuşak ve gergin hissedilir. Gün içinde bu şişkinlik artıp azalabilir.
Gerçek Karın Büyümesi Ne Zaman Başlar?
Genellikle rahim, pelvik kemiğin dışına çıkmaya başladığı 12.–14. haftalar arasında karın gözle görülür şekilde büyümeye başlar. Ancak:
- Zayıf yapılı kadınlarda
- İkiz veya çoğul gebeliklerde
- Daha önce doğum yapmış annelerde
karın 10. haftadan itibaren hafif çıkıntı şeklinde fark edilebilir.
Kıyafetlerde Değişiklik Başlar mı?
Evet. Bu hafta itibariyle bazı kadınlar:
- Normal pantolonlarının düğmelerini kapatmakta zorlanabilir.
- Daha esnek ya da lastikli kıyafetleri tercih etmeye başlayabilir.
- Kıyafetlerin karın ve bel bölgesinde daha gergin durduğunu hissedebilir.
Bu değişiklikler fiziksel büyümeden çok hormonal değişimlere bağlı şişkinlik kaynaklı olabilir.
10 Haftalık Gebelikte Riskli Durumlar Nelerdir?
Hamileliğin 10. haftası genellikle düşük riskinin azalmaya başladığı, bebeğin organ gelişiminin tamamlandığı ve gebeliğin nispeten daha güvenli bir döneme geçtiği evredir. Ancak bazı durumlarda dikkatli olunması ve mutlaka doktor takibi yapılması gereken belirtiler ortaya çıkabilir.
Aşağıda bu riskli durumlar, belirtileri ve alınması gereken önlemlerle birlikte detaylandırılmıştır:
1. Vajinal Kanama
| Belirti | Olası Neden | Ne Yapmalı? |
|---|---|---|
| Hafif pembe akıntı | Servikal hassasiyet | Takip edilmeli |
| Açık kırmızı kanama | Düşük tehdidi, hematom | Acil doktor kontrolü |
| Pıhtılı ve yoğun kanama | Düşük (abortus) | Hemen sağlık kuruluşuna başvurmalı |
Not: 10. haftada lekelenme bazen zararsız olsa da, her kanama ciddiye alınmalı ve doktorla paylaşılmalıdır.
2. Şiddetli Alt Karın Ağrısı
Bu dönemde hafif kramplar normal kabul edilse de, ağrı:
- Şiddetli, tek taraflı ise
- Omuzda yansıyan ağrı varsa
- Baygınlık hissiyle birlikteyse
→ Bu belirtiler dış gebelik veya düşük tehdidi gibi acil durumlara işaret edebilir.
3. Ateş, Titreme ve Kötü Kokulu Akıntı
Bu belirtiler enfeksiyona işaret edebilir:
| Belirti | Olası Durum | Müdahale |
|---|---|---|
| 38°C üzeri ateş | İdrar yolu enfeksiyonu, grip, rahim içi enfeksiyon | Doktor kontrolü |
| Kötü kokulu akıntı | Vajinal enfeksiyonlar | Genital hijyen + muayene |
| Kas ağrısı, halsizlik | Viral enfeksiyonlar | Gözlem + gerekirse tedavi |
4. Ciddi Bulantı ve Kusma (Hiperemezis Gravidarum)
- haftada hafif bulantılar normaldir. Ancak:
- Günde 4–5 kezden fazla kusma
- Ağızdan sıvı alamama
- İdrar renginde koyulaşma
→ Bunlar ağır gebelik bulantısı anlamına gelir ve sıvı-elektrolit dengesizliği açısından ciddi risk taşır. Gerekirse hastanede serum tedavisi uygulanır.
5. Vajinal Akıntının Anormalleşmesi
Normalde gebelikte artan vajinal akıntı berrak ve kokusuzdur. Ancak:
| Akıntı Özelliği | Olası Sorun |
|---|---|
| Sarı-yeşil, kötü kokulu | Bakteriyel enfeksiyon |
| Beyaz, yoğun, kaşıntılı | Mantar enfeksiyonu |
| Sulu, renksiz, bol | Amniyotik sıvı sızıntısı (nadir) |
Her durumda muayene önerilir, çünkü enfeksiyonlar tedavi edilmezse gebelik sağlığını etkileyebilir.
6. Bebekte Gelişim Geriliği (Ultrasonda)
Nadir de olsa, 10. haftada yapılan ultrasonografide bebeğin:
- Kalp atışlarının durduğu
- Beklenenden küçük ölçüldüğü
- Yeterince gelişmediği
görülebilir. Bu durumlar missed abortus (sessiz düşük) anlamına gelebilir ve doktor değerlendirmesi şarttır.
Ne Zaman Mutlaka Doktora Başvurmalısınız?
Aşağıdaki belirtilerden biri bile varsa zaman kaybetmeden kadın doğum uzmanına başvurmalısınız:
- Şiddetli karın ağrısı
- Yoğun kanama veya pıhtı
- Ateş ve titreme
- Kusma nedeniyle sıvı alamama
- Baygınlık hissi
- Vajinal akıntının renginde ve kokusunda belirgin değişiklik
10 Haftalık Gebelikte Hangi Testler Yapılır?
Gebeliğin 10. haftası, hem bebekteki genetik risklerin değerlendirilmesi hem de annenin genel sağlık durumunun kontrolü açısından oldukça önemli bir dönüm noktasıdır. Bu hafta itibariyle ilk trimester taramaları başlar ve bazı kan testleriyle birlikte ultrasonografik değerlendirmeler yapılır.
1. İkili Tarama Testi (11–14. haftalar arası planlansa da hazırlığı 10. haftada başlar)
İkili tarama testi, Down sendromu (Trizomi 21) ve bazı diğer kromozom anomalilerini belirleme açısından ilk adımdır. Bu test, hem kan testleriyle hem de ultrasonla yapılır.
| Test Bileşeni | Açıklama |
|---|---|
| PAPP-A | Gebeliğe özgü bir proteindir. Değeri düşerse risk artabilir. |
| β-hCG (Free Beta) | Yüksek veya düşük çıkması risk göstergesi olabilir. |
| NT ölçümü (Ultrasonda) | Bebeğin ense kalınlığı milimetre cinsinden ölçülür. |
- haftada kan örneği alınabilir, 11–14. haftada ultrasonla birleştirilir.
2. NIPT (Non-İnvaziv Prenatal Test)
- haftadan itibaren yapılabilir. Anne kanından bebeğe ait DNA parçaları incelenerek:
- Down sendromu (Trizomi 21)
- Edwards sendromu (Trizomi 18)
- Patau sendromu (Trizomi 13)
- Cinsiyet tayini (isteğe bağlı)
gibi durumlar saptanabilir.
| Özellik | Detay |
|---|---|
| Güvenilirlik oranı | %99’a kadar çıkabilir (Trizomi 21 için) |
| Riski | Yok (sadece kan testi) |
| Fiyat | Özel laboratuvarlarda değişken |
NIPT, özellikle ileri yaş gebeliklerde veya tarama testinde risk çıkan annelerde önerilir.
3. Tam Kan Sayımı (Hemogram)
Anne adayının:
- Anemi (kansızlık)
- Enfeksiyon bulguları
- Bağışıklık hücrelerinin seviyesi
gibi temel sağlık parametreleri değerlendirilir.
4. Kan Grubu ve Rh Uyuşmazlığı Testi
Anne ve baba arasında Rh uygunsuzluğu varsa (anne Rh negatif, baba Rh pozitif), bebeğin kan grubu ile annenin bağışıklık sistemi arasında bir çatışma yaşanabilir. Bu durumda önlem alınması gerekir.
5. Serolojik Tarama Testleri
Gebeliğin başında ve bu haftalarda yapılabilir. Amaç, enfeksiyon risklerini önceden saptamaktır.
| Test | Önemi |
|---|---|
| Rubella (Kızamıkçık) | Doğumsal anomali riskine karşı |
| Toksoplazma IgG/IgM | Çiğ et, kedi dışkısıyla temas gibi durumlarda risk taşır |
| HIV | Doğum öncesi bulaş riskini azaltmak için tespiti önemlidir |
| Hepatit B ve C | Annenin bulaşıcı hastalık taşıyıcılığı varsa doğum önlemleri alınır |
| Sifiliz (VDRL) | Nadir ama önemli bir enfeksiyondur, erken tespit edilir |
6. Tiroid Fonksiyon Testleri (TSH, fT4)
Gebelikte tiroid hormonları hem bebeğin gelişimini hem de annenin genel sağlığını etkiler. 10. haftada ilk defa yapılan tiroid testleri, gerektiğinde tedaviye başlanmasını sağlar.
7. İdrar Tahlili ve Kültürü
İdrar yolu enfeksiyonları gebelikte yaygındır. Bazen belirti vermeden de ilerleyebilir. Bu nedenle:
- Tam idrar tahlili
- İdrar kültürü
ile hem enfeksiyon varlığı hem de böbrek sağlığı kontrol edilir.
Hangi Test Zorunlu, Hangisi İsteğe Bağlı?
| Test Adı | Zorunlu / İsteğe Bağlı |
|---|---|
| Hemogram | Zorunlu |
| Kan grubu ve Rh | Zorunlu |
| Serolojik taramalar | Zorunlu |
| İdrar tahlili | Zorunlu |
| İkili tarama testi | Önerilen (devlet karşılar) |
| NIPT | İsteğe bağlı (özel ücretli) |
Tüm bu testlerin zamanında yapılması, gebeliğin sağlıklı ilerlemesi ve olası risklerin erkenden fark edilmesi açısından büyük önem taşır.
10 Haftalık Hamilelikte Cinsiyet Belli Olur mu?
Gebelikte bebeğin cinsiyeti, döllenme anında kromozomlar tarafından belirlenmiş olur. Ancak bu bilginin tıbbi yöntemlerle öğrenilebilmesi için belli bir gelişim sürecinin tamamlanması gerekir. 10. haftada cinsiyet belirleme mümkün olabilir, fakat yöntem, doğruluk oranı ve kullanılan teknolojilere göre değişir.
1. Ultrasonla Cinsiyet Tahmini
- haftada ultrasonla cinsiyet kesin olarak belirlenemez. Çünkü:
- Dış genital organlar henüz net şekilde farklılaşmamıştır.
- Kız ve erkek bebeklerin genital çıkıntıları bu haftada çok benzerdir.
- Yanlış yorumlanma riski yüksektir.
Genellikle 13. haftadan itibaren, cinsiyet tahmininde daha güvenilir sonuçlar alınabilir. Ancak kesinlik için 16–20. haftalar arası beklenir.
2. NIPT (Non-İnvaziv Prenatal Test) ile Cinsiyet Öğrenme
- haftadan itibaren yapılabilen NIPT testiyle, annenin kanında dolaşan bebeğe ait DNA parçaları incelenerek cinsiyet tayini mümkündür.
| Özellik | Detay |
|---|---|
| Nasıl yapılır? | Sadece anne kanı alınır |
| Hangi haftadan itibaren? | 10. haftadan itibaren |
| Güvenilirlik oranı | %99’a kadar çıkabilir |
| Sonuç süresi | 5–10 iş günü içinde açıklanır |
| Nerede yapılır? | Özel laboratuvarlarda, bazı özel hastanelerde |
NIPT testinde Y kromozomu tespit edilirse bebek erkektir. Tespit edilmezse kız olduğu kabul edilir.
3. Cinsiyet Belirleme Amaçlı Özel Kan Testleri
Bazı özel kliniklerde 10. haftadan itibaren yalnızca cinsiyet tayini için yapılan genetik testler de bulunur. Ancak bunların güvenilirliği, NIPT kadar yüksek olmayabilir ve çoğu zaman FDA onayı taşımaz.
Eğer yalnızca cinsiyet öğrenme amacı varsa, doğru sonuç almak için 12. haftadan sonra yapılması önerilir.
4. Evde Cinsiyet Testleri Güvenilir mi?
Piyasada satılan bazı “evde cinsiyet belirleme testleri” (idrar testi, renk değişimi temelli kitler) bilimsel değildir ve %50 şansla doğru çıkar. Bu nedenle tıbbi olarak güvenilir kabul edilmez.
Cinsiyet Öğrenmek için En Güvenilir Dönem ve Yöntemler
| Yöntem | Hangi Haftada? | Güvenilirlik (%) | Açıklama |
|---|---|---|---|
| Ultrason (2D) | 16. hafta ve sonrası | %95+ | Uygulayıcı deneyimi önemlidir |
| 4D Ultrason | 18. hafta ve sonrası | %99 | Görüntü kalitesi daha yüksektir |
| NIPT | 10. hafta ve sonrası | %99 | Genetik temelli cinsiyet tespiti |
| Amniyosentez/Koryon Villus | 11–16. haftalar | %100 | Genetik analiz ama sadece tıbbi gereklilik varsa yapılır |
Özetle:
- 10. haftada ultrasonla cinsiyet öğrenmek mümkün değildir.
- Eğer cinsiyet bilgisi bu kadar erken öğrenilmek isteniyorsa, NIPT testi en güvenilir yöntemdir.
- Cinsiyet öğrenmek için sabretmek en doğru yaklaşımdır. Çünkü doğadaki gelişim süreci zamana bağlıdır ve hatalı tahminler psikolojik hayal kırıklığına yol açabilir.
10 Haftalık Gebelikte Beslenme Nasıl Olmalıdır?
Gebeliğin 10. haftasında hem anne hem de bebek için doğru ve dengeli beslenme son derece önemlidir. Bu haftaya kadar plasenta gelişimini büyük ölçüde tamamlamış olur ve artık bebek, anne yoluyla gelen besin maddelerine daha çok bağımlı hale gelir. Bu nedenle annenin beslenme alışkanlıkları doğrudan bebeğin gelişimini etkiler.
1. Günlük Kalori İhtiyacı Artar mı?
İlk trimesterde (ilk 13 hafta) kalori ihtiyacında büyük bir artış gerekmez. Ancak kaliteli ve dengeli gıdalar tercih edilmelidir.
| Dönem | Ek Kalori İhtiyacı (Günlük) |
|---|---|
| 1. trimester | +100–150 kcal |
| 2. trimester | +250 kcal |
| 3. trimester | +400–500 kcal |
Yani 10. haftada fazladan yemek yemeye gerek yoktur; asıl hedef, besin değerinin artırılmasıdır.
2. Önerilen Temel Besin Grupları
| Besin Grubu | Önerilen Miktar (Günlük) | Neden Önemli? |
|---|---|---|
| Protein | 70–100 gram | Hücre ve organ gelişimi |
| Karbonhidrat | 175 gram | Enerji ihtiyacını karşılar |
| Sağlıklı yağlar | 60–80 gram | Beyin gelişimi, hormon dengesi |
| Lif | 25–30 gram | Kabızlığı önler |
| Kalsiyum | 1000–1200 mg | Kemik ve diş gelişimi |
| Demir | 27 mg | Kan yapımı, anemi önleme |
| Folat (folik asit) | 400–600 mcg | Sinir sistemi gelişimi, NTD riskini azaltma |
3. Örnek Günlük Beslenme Planı (10. Hafta)
| Öğün | Örnek Besinler |
|---|---|
| Kahvaltı | Tam tahıllı ekmek, haşlanmış yumurta, peynir, ceviz, taze meyve |
| Ara Öğün | Yoğurt + mevsim meyvesi |
| Öğle | Izgara tavuk/balık, bulgur pilavı, sebze yemeği |
| Ara Öğün | Badem veya hurma, süt |
| Akşam | Zeytinyağlı sebze, yoğurt, kepekli makarna |
| Gece | Ilık süt veya muz |
4. Dikkat Edilmesi Gerekenler
Kaçınılması gereken besinler:
| Gıda / Ürün | Neden Kaçınılmalı? |
|---|---|
| Çiğ et ve sakatatlar | Toksoplazma ve Listeria riski |
| Pastörize olmayan süt | Listeria riski |
| Cıva içeriği yüksek balıklar (kılıç, orkinos) | Sinir sistemi gelişimine zararlı olabilir |
| Şarküteri ürünleri | Katkı maddeleri ve bakteri riski |
| Aşırı kafein (günde 200 mg üstü) | Düşük riskini artırabilir |
| Alkol | Gelişimsel bozukluk riski |
5. Bulantılara Karşı Beslenme Önerileri
- haftada mide bulantısı hâlâ devam edebilir. Bu durumda:
- Az ve sık öğün tüketilmeli
- Sabah yataktan kalkmadan önce birkaç tuzlu kraker yenebilir
- Yağlı ve baharatlı gıdalardan kaçınılmalı
- Zencefil çayı veya nane-limon rahatlatıcı olabilir (doktor onayıyla)
6. Takviye Kullanımı
Doktor önerisi olmadan rastgele vitamin takviyesi alınmamalıdır. Ancak genellikle şu destekler önerilir:
| Takviye | Dozu |
|---|---|
| Folik asit | 400–600 mcg |
| Demir | 27 mg |
| D vitamini | 600 IU (günlük) |
| Omega-3 (DHA) | 200–300 mg |
| Kalsiyum | 1000–1200 mg (besinle yeterli alınmazsa) |
Özetle:
- haftada beslenme:
- Kalori artırmaktan çok besin kalitesini artırmaya odaklanmalıdır.
- Protein, folat ve demir en önemli önceliklerdendir.
- Günlük su tüketimi en az 2–2.5 litre olmalıdır.
- İdeal olan, kişiselleştirilmiş bir beslenme planı için diyetisyen desteğidir.
10 Haftalık Gebelikte Düşük Riski Var mı?
Gebeliğin 10. haftası, düşük riskinin halen var olduğu ancak yavaş yavaş azalmaya başladığı bir dönemdir. Çünkü bu haftayla birlikte fetüs, organ gelişimini büyük ölçüde tamamlamış ve plasenta devreye girmiştir. Ancak bazı durumlarda gebeliğin bu aşamasında da düşük meydana gelebilir.
1. 10. Haftada Düşük Görülme Sıklığı
- Tüm gebeliklerin yaklaşık %10–15’i düşükle sonuçlanabilir.
- Düşüklerin çoğu ilk 12 hafta içinde gerçekleşir.
- haftada düşük riski, önceki haftalara göre daha düşüktür ama tamamen ortadan kalkmış değildir.
2. Düşüğün Belirtileri
| Belirti | Açıklama |
|---|---|
| Vajinal kanama | Kırmızı, kahverengi ya da pıhtılı olabilir |
| Kramp tarzı alt karın ağrısı | Regl sancısına benzer olabilir |
| Sırt ağrısı | Genellikle bel çevresinde hissedilir |
| Vajinadan sıvı veya doku gelmesi | Düşüğe işaret edebilir |
| Hamilelik belirtilerinin aniden kaybolması | (Bulantı, göğüs hassasiyeti gibi) şüphe yaratabilir |
Bu belirtiler görüldüğünde vakit kaybetmeden kadın doğum uzmanına başvurulmalıdır.
3. Düşük Riski Taşıyan Durumlar
Bazı durumlar, 10. haftada düşüğe neden olabilecek riskleri artırabilir:
| Risk Faktörü | Detay |
|---|---|
| Kromozomal bozukluklar | Düşüklerin en yaygın nedenidir; genellikle rastlantısaldır |
| Rahim yapısal bozuklukları | Septum, çift rahim gibi durumlar |
| Hormonal dengesizlikler | Progesteron eksikliği gibi |
| İleri anne yaşı | 35 yaş üstü gebeliklerde düşük oranı artar |
| Sigara, alkol, madde kullanımı | Embriyonal gelişimi olumsuz etkiler |
| Ağır stres, travma, enfeksiyon | Gebelik dengesini bozabilir |
| Önceki düşük öyküsü | Tekrarlayan düşüklerde risk daha yüksektir |
4. Sessiz (Missed) Düşük Nedir?
Bazı durumlarda düşük belirtileri ortaya çıkmaz ancak bebek gelişimini durdurmuş olabilir. Bu durumda:
- Anne gebelik belirtilerini hala yaşıyor olabilir.
- Rutin kontrolde kalp atımının durduğu görülür.
- Bu durum “sessiz düşük (missed abortus)” olarak adlandırılır.
Tanı ultrasonla konur. Rahim içeriği kendiliğinden atılmazsa kürtaj gerekebilir.
5. Düşükten Korunmak İçin Neler Yapılabilir?
Kesin bir önlem olmamakla birlikte, şu maddelere dikkat etmek riski azaltabilir:
- Doktorun önerdiği takviyeleri (özellikle folik asit ve progesteron desteği) düzenli kullanmak
- Aşırı fiziksel yorgunluktan ve ağır yük taşımaktan kaçınmak
- Stresi mümkün olduğunca azaltmak
- Cinsel ilişki konusunu doktorla değerlendirmek
- Bulantı nedeniyle sıvı ve besin alımı kısıtlanmamalı
- Enfeksiyonlardan korunmak (soğuk algınlığı, idrar yolu enfeksiyonu vb.)
6. Düşük Yaşanırsa Ne Yapılır?
- Düşük belirtileri başladığında acil bir sağlık kuruluşuna başvurulmalı.
- Düşük tamamlanmışsa, rahim içi temizliği için kürtaj gerekebilir.
- Kan grubu Rh negatif olan annelere, düşük sonrası Anti-D iğnesi yapılmalıdır.
- Düşük sonrası fiziksel ve psikolojik destek önemlidir.
Sonuç olarak:
- haftada düşük riski hala mevcuttur, ancak ilk haftalara göre daha düşüktür.
- Her kanama veya ağrı mutlaka düşük anlamına gelmez; doktor kontrolü şarttır.
- Sağlıklı bir gebelik için dengeli beslenme, düzenli takip ve ruhsal denge büyük önem taşır.
10. Haftada Hamilelik Belirtileri Azalır mı?
Gebeliğin 10. haftası, özellikle ilk trimester belirtilerinin yoğun şekilde yaşandığı bir dönemdir. Ancak bu haftayla birlikte bazı kadınlar belirtilerin hafiflediğini ya da tamamen kaybolduğunu fark edebilir. Bu durum çoğu zaman normal bir gebelik seyrinin parçasıdır, ancak bazı durumlarda kontrol edilmesi gereken bir tabloya da işaret edebilir.
1. Hamilelik Belirtileri Bu Haftada Neden Değişir?
Gebelik boyunca vücutta birçok hormon dalgalanması olur. Özellikle ilk trimesterde hCG (insan koryonik gonadotropin) hormonu çok hızlı yükselir. Bu hormon, başta mide bulantısı ve yorgunluk olmak üzere birçok belirtiye neden olur.
- haftada hCG seviyesi zirveye ulaşır.
- haftadan itibaren hCG yavaş yavaş düşmeye başlar.
- Bu düşüş, belirtilerin azalmasına veya hafiflemesine yol açar.
Yani belirtilerin azalması çoğu zaman normal bir fizyolojik süreçtir.
2. En Sık Azalan Belirtiler
| Belirti | Azalma Gözlenebilir mi? | Açıklama |
|---|---|---|
| Mide bulantısı | Evet | hCG seviyesindeki azalma etkiler |
| Göğüs hassasiyeti | Kısmen | Hormon seviyeleri sabitlenince azalır |
| Yorgunluk | Evet | Vücut gebeliğe daha iyi adapte olur |
| Sık idrara çıkma | Hayır (genellikle devam eder) | Rahmin büyümesi mesaneye baskı yapar |
3. Belirtiler Kaybolduysa Endişelenmeli mi?
Her belirti kaybı bir sorun anlamına gelmez. Ancak aniden ve tamamen kaybolan belirtiler, özellikle:
- Göğüslerdeki dolgunluk tamamen biterse
- Bulantılar birden kesilirse
- Hamilelik hissi tamamen kaybolursa
ve bu tabloya kanama, ağrı, akıntı gibi başka belirtiler de eşlik ederse mutlaka doktor kontrolü yapılmalıdır.
Bu durumda söz konusu olabilecek tablolar:
- Sessiz düşük (missed abortus)
- Embriyo gelişiminin durması
- Hormonal dengesizlikler
4. Belirtiler Azaldığında Ne Yapmalı?
| Durum | Öneri |
|---|---|
| Belirtiler yavaş yavaş azaldıysa | Genellikle normal |
| Hiçbir ağrı/kanama yoksa | Panik yapmaya gerek yok |
| Aniden tüm belirtiler kaybolduysa | Doktor kontrolü önerilir |
| Kanama, ağrı gibi şikâyetler başladıysa | Acilen doktora başvurulmalı |
5. Her Kadında Belirtiler Aynı mı Olur?
Hayır. Her kadının vücudu farklıdır ve belirtileri yaşama şekli de değişkendir. Hatta aynı kadın farklı gebeliklerinde bile farklı belirtiler yaşayabilir:
- Bazı kadınlarda 10. haftaya kadar yoğun bulantılar varken, bazıları hiç bulantı yaşamayabilir.
- Bir önceki gebeliğinde belirgin olan göğüs ağrısı, bu kez çok hafif seyredebilir.
Bu yüzden belirtilerin az ya da çok olması, tek başına gebeliğin sağlığı hakkında kesin bilgi vermez.
Sonuç olarak:
- haftada belirtilerin azalması genellikle hormonlardaki doğal değişimlerin sonucudur.
- Ancak belirtiler aniden ve tamamen kaybolmuşsa, mutlaka doktor kontrolü yapılmalıdır.
- En iyi yaklaşım, düzenli muayeneleri aksatmamak ve vücudun verdiği sinyalleri ciddiye almaktır.
10 Haftalık Gebelikte Egzersiz Yapılır mı?
Gebeliğin 10. haftasında egzersiz yapmak, hem anne adayının sağlığı hem de bebeğin gelişimi için oldukça faydalıdır. Elbette egzersizin türü, süresi ve yoğunluğu dikkatle planlanmalıdır. Doğru şekilde yapıldığında egzersiz, gebelik sürecini daha rahat ve sağlıklı geçirmeye yardımcı olur.
1. 10. Haftada Egzersiz Güvenli midir?
Evet, güvenlidir. Düşük riski olmayan, komplikasyonsuz bir gebelikte egzersiz yapılmasında genellikle bir sakınca yoktur. Ancak:
- Önce doktorla görüşülmelidir.
- Gebeliğe özgü özel durumlar (düşük tehdidi, plasenta sorunları vb.) varsa egzersiz kısıtlanabilir.
- Aşırı yorucu, zorlayıcı, düşme riski olan hareketlerden kaçınılmalıdır.
2. Egzersizin Faydaları
| Fayda | Açıklama |
|---|---|
| Dolaşımı artırır | Bebeğe giden kan ve oksijen artar. |
| Kas gücünü korur | Doğum için vücudu hazırlar. |
| Sırt ağrılarını azaltır | Özellikle bel çevresi desteklenir. |
| Kabızlığı önler | Bağırsak hareketlerini artırır. |
| Stresi ve kaygıyı azaltır | Endorfin hormonu salgısı artar. |
| Kilo kontrolünü destekler | Aşırı kilo alımı önlenir. |
| Duruş bozukluklarını düzeltir | Denge ve postür gelişir. |
3. Uygun Egzersiz Türleri
| Egzersiz Türü | Süresi / Sıklığı | Açıklama |
|---|---|---|
| Yürüyüş | Günde 30 dakika | En güvenli ve kolay egzersizdir. |
| Gebelik yogası | Haftada 2–3 kez | Kas esnekliğini artırır, nefes kontrolü sağlar. |
| Pilates (gebeye özel) | Haftada 2 kez | Karın ve pelvik kaslarını güçlendirir. |
| Yüzme | Haftada 2–3 kez | Eklem baskısını azaltır, rahatlatıcıdır. |
| Evde esneme hareketleri | Her gün kısa seanslarla | Kas spazmlarını önler. |
Önemli Not: Spora başlamadan önce ısınma hareketleri mutlaka yapılmalı, egzersiz sonrası hafif soğuma hareketleriyle kalp hızı düşürülmelidir.
4. Kaçınılması Gereken Egzersizler
| Riskli Egzersiz Türü | Neden Tehlikelidir? |
|---|---|
| Ağırlık kaldırma (ağır yükler) | Kas zorlanması, karın içi basınç artışı |
| Atlama, zıplama içeren sporlar | Düşme riski, rahim sarsılması |
| Bisiklet (özellikle dış mekânda) | Denge kaybı sonucu düşme riski |
| Temas sporları (voleybol, basketbol) | Karına darbe alma ihtimali |
| Aşırı sıcak ortamda yapılan egzersiz | Vücut ısısının yükselmesi, bebeğe zarar |
5. Egzersiz Yaparken Dikkat Edilmesi Gerekenler
- Bol su tüketimi yapılmalı (terlemeyle sıvı kaybı önlenmeli)
- Sıkı kıyafetlerden kaçınılmalı, rahat, nefes alan kıyafetler tercih edilmeli
- Aç karnına ya da çok tokken egzersiz yapılmamalı
- Nefes nefese kalacak yoğunlukta spor yapılmamalı
- Egzersiz sırasında şu belirtiler varsa hemen bırakılmalı ve doktora başvurulmalı:
- Baş dönmesi
- Nefes darlığı
- Vajinal kanama
- Kasık ağrısı
- Rahim kasılmaları
- Bebek hareketlerinde belirgin azalma (ilerleyen haftalarda)
6. Daha Önce Hiç Egzersiz Yapmadıysanız?
Daha önce aktif olarak spor yapmamışsanız bile, 10. haftada başlamak mümkündür. Ancak şunlara dikkat edilmelidir:
- Yavaş tempoyla başlanmalı
- Vücut dinlenmeye ihtiyaç duyduğunda durulmalı
- En güvenli seçenek: her gün 20–30 dakika yürüyüş
Özetle:
- 10 haftalık gebelikte egzersiz, çoğu anne adayı için güvenli ve faydalıdır.
- Düşük riski yoksa yürüyüş, yoga, yüzme gibi hafif egzersizler önerilir.
- Egzersiz sırasında vücut sinyallerine dikkat edilmeli; aşırı zorlamadan kaçınılmalıdır.
- Doktor onayı her zaman ilk şarttır.
10 Haftalık Gebelikte Uyku Problemleri Normal mi?
Gebeliğin 10. haftasında birçok anne adayı uyku problemleri yaşamaya başlar. Bu sorunlar, hem hormonal değişimlerin hem de fiziksel ve duygusal değişimlerin doğal bir sonucudur. Özellikle ilk trimesterde uyku düzeninde bozulmalar, gece sık uyanmalar ya da aşırı uyku isteği sık karşılaşılan durumlardır.
1. Uyku Problemleri Bu Haftada Neden Ortaya Çıkar?
| Neden | Açıklama |
|---|---|
| Hormon değişiklikleri | Progesteron artışı gündüz uyuklamaya, gece uykusuzluğa neden olabilir. |
| Mide bulantısı | Özellikle gece saatlerinde artabilir, uykuyu bölebilir. |
| Sık idrara çıkma | Rahim mesaneye baskı yapar; gece sık tuvalet ihtiyacı oluşur. |
| Anksiyete ve heyecan | Bebeğin sağlığı, düşük riski, gelecek planları gibi konular uykuyu etkileyebilir. |
| Fiziksel rahatsızlıklar | Göğüslerde hassasiyet, karında şişkinlik ve sindirim sorunları uyumayı zorlaştırabilir. |
2. En Sık Yaşanan Uyku Sorunları
- Gece boyunca sık uyanma
- Uykudan dinlenmeden uyanma
- Uykuya dalmada zorlanma
- Sabah çok erken uyanma
- Gün içinde aşırı uykululuk hali
Bu semptomlar ilk trimesterde yaygındır ve genellikle 12–14. haftadan sonra hafiflemeye başlar.
3. Uyku Kalitesini Artırmak İçin Öneriler
| Öneri | Açıklama |
|---|---|
| Düzenli uyku saatleri | Her gün aynı saatte yatmak ve uyanmak biyolojik saati dengeler. |
| Yatmadan önce sıvı tüketimini azaltmak | Gece tuvalet ihtiyacını azaltır. |
| Hafif akşam yemeği | Sindirimi kolay, gaz yapmayan gıdalar tercih edilmelidir. |
| Yatmadan önce ılık duş | Kasları gevşetir, rahatlatır. |
| Yastık desteği | Yan yatarken bacak arası ve bel altına yastık konması pozisyonu rahatlatır. |
| Ekran süresini azaltmak | Uyumadan en az 1 saat önce telefon/tablet kullanımı bırakılmalı. |
| Kafeinden uzak durmak | Çay, kahve ve kolalı içecekler sınırlandırılmalı. |
4. En Uygun Uyuma Pozisyonu Nedir?
Gebeliğin bu haftasında anne adayı genellikle istediği pozisyonda uyuyabilir. Ancak sırt üstü yatma, ilerleyen haftalarda rahmin büyümesiyle sakıncalı hale gelebilir. Bu nedenle alışkanlık kazanmak açısından:
- Sol yana yatma pozisyonu önerilir.
- Bu pozisyon, rahme ve bebeğe giden kan akımını artırır.
Yan yatmakta zorlananlar için dizler arasına yastık koymak oldukça rahatlatıcıdır.
5. Ne Zaman Uyku Sorunları Ciddiye Alınmalıdır?
Aşağıdaki durumlarda mutlaka doktora danışılmalıdır:
- Uyuyamama hali 1 haftadan uzun sürüyorsa
- Uyku bölünmeleri nedeniyle günlük işlevler ciddi şekilde etkileniyorsa
- Gece terörü, panik atak benzeri semptomlar başladıysa
- Uykusuzlukla birlikte kilo kaybı, iştahsızlık, depresyon varsa
Bu gibi durumlar bazen gebelikte görülen anksiyete ya da depresyon belirtisi olabilir ve profesyonel destek gerekebilir.
6. Bitkisel Destekler Kullanılabilir mi?
Gebelikte bilinçsiz bitkisel ürün kullanımı riskli olabilir. Rahatlatıcı çaylar (örneğin papatya, melisa gibi) bazı kadınlar tarafından tercih edilse de her durumda:
- Kadın doğum uzmanına danışılmadan tüketilmemelidir.
Özetle:
- haftada uyku problemleri yaşanması çok yaygındır ve genellikle geçicidir.
- Hormonlar, mide bulantısı, sık idrara çıkma ve ruhsal değişimler başlıca nedenlerdir.
- Sağlıklı uyku hijyeni uygulandığında şikâyetler çoğunlukla azalır.
- Uykusuzluk günlük yaşamı etkiliyorsa mutlaka hekim desteği alınmalıdır.
10 Haftalık Hamilelikte Hangi Değişiklikler Normaldir, Hangileri Değil?
Gebeliğin 10. haftası, ilk trimesterin sonuna doğru yaklaşırken hem anne adayının hem de bebeğin vücudunda önemli değişimlerin yaşandığı bir dönemdir. Bu haftada hissedilen belirtilerin hangisinin normal, hangisinin dikkat gerektiren bir durum olduğu sıkça merak edilir.
Aşağıda bu haftaya özgü yaygın değişimleri “normal” ve “doktor kontrolü gerektirir” şeklinde ayırarak netleştiriyoruz:
Normal Olan Değişiklikler
| Değişiklik | Açıklama |
|---|---|
| Göğüslerde büyüme ve hassasiyet | Hormonlara bağlı olarak süt bezleri gelişiyor |
| Sabah bulantıları | Yüksek hCG düzeyiyle ilişkilidir, genellikle 12. haftadan sonra azalır |
| Yorgunluk, halsizlik | Artan metabolik ihtiyaçlar ve progesteron etkisiyle görülür |
| Sık idrara çıkma | Rahmin büyümesi mesaneye baskı yapar |
| Duygusal dalgalanmalar | Hormonların ruh hali üzerindeki etkisidir |
| Hafif kasık ağrıları | Rahim büyüdükçe bağ dokuların esnemesiyle oluşur |
| Karında şişkinlik ve gaz | Sindirim sisteminin yavaşlamasıyla ilişkilidir |
| Artan vajinal akıntı | Hormonal değişime bağlı fizyolojik lökore olabilir |
Doktor Kontrolü Gerektiren Durumlar
| Belirti veya Değişiklik | Olası Anlamı |
|---|---|
| Parlak kırmızı kanama veya pıhtı | Düşük tehdidi |
| Şiddetli, tek taraflı karın ağrısı | Dış gebelik veya komplikasyon |
| Yüksek ateş (>38°C), titreme | Enfeksiyon |
| Kötü kokulu veya sarı-yeşil vajinal akıntı | Vajinal enfeksiyon |
| İdrar yaparken yanma, ateş, sık sık idrara çıkma | İdrar yolu enfeksiyonu |
| Aniden gebelik belirtilerinin kesilmesi | Sessiz düşük (missed abortus) şüphesi |
| Şiddetli baş ağrısı, bulanık görme | Hipertansiyon belirtisi olabilir |
| Şiddetli mide bulantısı, kilo kaybı, sıvı alamama | Hiperemezis gravidarum (ağır gebelik bulantısı) |
Bu Haftada Hangi Değerlendirmeler Önemlidir?
- Ultrason kontrolü: Bebeğin kalp atışı ve gelişimi gözlemlenir.
- Kan testleri: İlk trimester taramaları için kan alınabilir.
- Beslenme ve takviye planı: Gerekirse demir, folik asit ve D vitamini takviyesi düzenlenir.
- Egzersiz ve yaşam alışkanlıkları: Uygun düzeyde fiziksel aktivite planlanabilir.
Sonuç olarak:
- haftada yaşanan değişimlerin büyük çoğunluğu fizyolojik ve normal gebelik sürecinin bir parçasıdır.
- Ancak bazı durumlar, erken müdahale edilmesi gereken tabloların habercisi olabilir.
- En sağlıklı yaklaşım, düzenli doktor kontrollerini aksatmamak, vücuttan gelen sinyalleri iyi gözlemlemek ve gerektiğinde zaman kaybetmeden hekime başvurmaktır.






